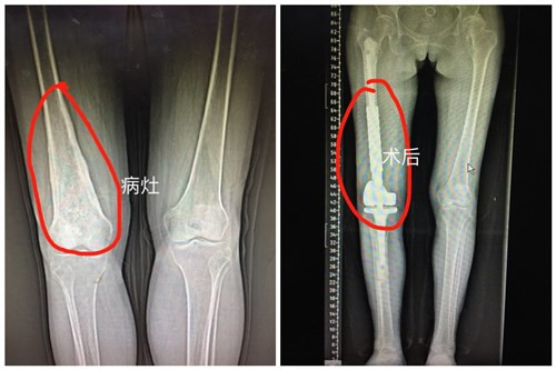
近日,临床医学院/附属医院骨科成功为一“股骨远端恶性肿瘤”患者行右股骨远端软骨肉瘤病灶切除+假体置换术,该手术为九江市首例。目前患者已康复出院。

患者杜女士,53岁,右膝关节反复疼痛一年多。辗转多家医院求医,均建议患者行截肢手术,不甘心的杜女士及家属慕名来临床医学院/附属医院骨科就诊。骨三科朱述浪主任带领的刘剑军等医师团队详细了解患者病情之后,立即召开病情讨论会,病理结果显示该患者所患为“软骨肉瘤”。为避免给患者带来身体及心理上的双重痛苦,改善其心理感受及提高生活质量,朱主任团队决定最大限度保留患者的肢体功能,并为患者制定了精准的手术方案及个性化的人工膝关节肿瘤假体。手术过程顺利,手术时长不到2小时,术中出血仅150ml,术后患者膝关节功能恢复良好,很快能下地活动。出院前患者握着医护人员的手说:“来附属医院求医是最正确的选择,不仅减轻我的病痛,同时让我感觉到你们的耐心、责任心,你们亲切的语言,微笑的脸庞,让病房充满了阳光,充满温馨。你们是最好的医护团队。”
软骨肉瘤是常见的恶性骨肿瘤之一,患者早期感觉患处不适,几天或几周后出现肿胀及肿块,晚期可出现静脉曲张,局部皮肤温度升高及充血发红。患者会感觉关节周围疼痛,最初是间歇性疼痛,之后逐步加重,转为持续性疼痛,夜间更为明显,止痛药无效。患者的关节活动受限,部分病人可发生关节积液,甚至会发生病理性骨折。
据朱主任介绍,现代医学已迈入精准医疗时代,在骨肿瘤的精准治疗方面包括如何合理选择靶向药物和制定个体化治疗方案,骨肿瘤手术的个体化治疗是精准医疗不可或缺的一部分。骨三科在骨肿瘤个体化治疗的指导原则下,已初步对膝关节周围肿瘤患者根据个体定制人工膝关节假体置换手术,让饱受骨肿瘤困扰的患者免受截肢之苦。在骨肿瘤病方面,临床医学院/附属医院骨三科已紧跟现代医学发展的潮流,朝着未来的发展方向而不断革新技术,造福九江人民!